よく噛める・痛みの少ない・天然歯のように自然な入れ歯を提供します

〒285-0854 千葉県佐倉市上座590-46 NAビル 1F
京成本線ユーカリが丘駅北口より徒歩2分

診療時間
9:00~13:00 × × ×
14:30~17:00 × × ×

△:14:30~18:00(2026年1月より金曜午後の診療時間は14:30~17:00となります。)

休診日:木曜・日曜・祝日

ご予約・お問合せはこちら

043-462-8330

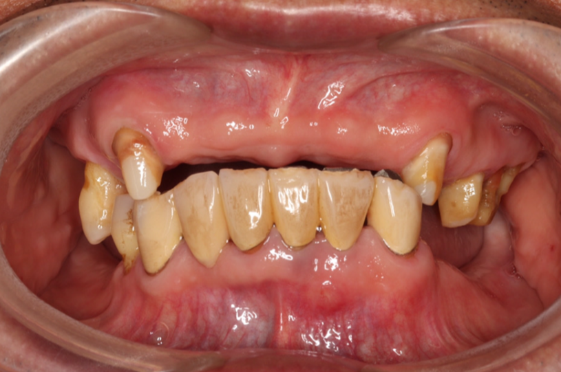
入れ歯の症例|ノンクラスプデンチャー(20代男性)

治療前

治療後

治療内容 左上2番目の歯をノンクラスプデンチャーにしました。
期間 約4か月(歯周病治療を含む)
費用 110,000円(税込)
副作用・リスク 強度は高くないので、過度な衝撃が加わると破損する原因になります。また、歯肉や骨にもダメージが蓄積することがあります。

 

ご不明な点がございましたらお気軽にお問合せください。

入れ歯の症例|ノンクラスプデンチャー(50代女性)

治療前

治療後

治療内容 左下6,7番目の歯をノンクラスプデンチャーにしました。
期間 約6か月(歯周病治療を含む)
費用 110,000円(税込)
副作用・リスク 強度は高くないので、過度な衝撃が加わると破損する原因になります。また、歯肉や骨にもダメージが蓄積することがあります。

 

ご不明な点がございましたらお気軽にお問合せください。

入れ歯の症例|ノンクラスプ金属床デンチャー(60代男性)

治療前

治療後

治療内容

上下の歯を金属床(コバルト)入れ歯にしました。

期間

約1年(歯周病治療含む)

費用 440,000円(税込)
副作用・リスク リスクは少ないですが、コバルトアレルギーの方はお勧めできません。

 

ご不明な点がございましたらお気軽にお問合せください。

入れ歯の症例|金属床(チタン床)デンチャー(70代男性)

治療前

治療後

治療内容 上下の歯を金属床(チタン)デンチャーにしました。
期間 約2か月(義歯製作のみ)
費用 616,000円(税込)
副作用・リスク リスクは少ないですが、チタンアレルギーの方はお勧めできません。

 

ご不明な点がございましたらお気軽にお問合せください。

入れ歯の症例|金属床デンチャー(60代男性)

治療前

治療後

治療内容 上下の歯を金属床(チタン)デンチャーにしました。
期間

約2か月(歯周病治療含む)

費用 616,000円(税込)
副作用・リスク リスクは少ないですが、チタンアレルギーの方はお勧めできません。

 

ご不明な点がございましたらお気軽にお問合せください。

入れ歯の症例|金属床デンチャー(70代男性)

治療前

治療後

治療内容 上顎を金属床(コバルト)、下顎をノンクラスプ金属床(コバルト)入れ歯にしました。
期間

約1年10か月(歯周病治療、根幹治療含む)

費用 上顎:231,000円、下顎:220,000(税込)
副作用・リスク リスクは少ないですが、コバルトアレルギーの方はお勧めできません。

 

ご不明な点がございましたらお気軽にお問合せください。

入れ歯の症例|BPSデンチャー(60代男性)

治療前

治療後

治療内容 上下の歯をBPS(リハビリあり)デンチャーにしました。
期間

約7か月(リハビリデンチャーあり)

リハビリデンチャー5か月

費用 1,620,000円(税込)
副作用・リスク 壊れた場合、修理に時間がかかる場合があります。

 

ご不明な点がございましたらお気軽にお問合せください。

入れ歯の症例|BPSデンチャー(60代男性)

治療前

治療後

治療内容 上下の歯をBPS(リハビリあり)デンチャーにしました。
期間

約1年2か月(歯周病治療、根幹治療含む)

リハビリデンチャー4か月

費用 1,914,000円(税込)
副作用・リスク 壊れた場合、修理に時間がかかる場合があります。

 

ご不明な点がございましたらお気軽にお問合せください。

入れ歯の症例|BPSデンチャー+リハビリ(60代男性)

治療前

治療後

治療内容 重度の歯周病となり、口腔内全体の抜歯をして、上下の歯をBPS(リハビリあり)デンチャーにしました。
期間

約7か月

費用 1,914,000円(税込)
副作用・リスク 壊れた場合、修理に時間がかかる場合があります。

 

ご不明な点がございましたらお気軽にお問合せください。

検診・歯石取り・歯のクリーニング・フッ素塗布も予約可能です

043-462-8330

診療時間

 
午前 × × ×
午後 × × ×

○:  9:00~17:00 
△:14:30~18:00
※2026年1月より金曜午後の診療時間は
14:30~17:00となります。

休診日:木曜・日曜・祝日

アクセス

043-462-8330

〒285-0854
千葉県佐倉市上座590-46NAビル1F
京成本線ユーカリが丘駅北口2分